تقويم اسنان الفك العلوي

سعر تقويم الأسنان الفك العلوي فقط التكلفة والأنواع تجميلي

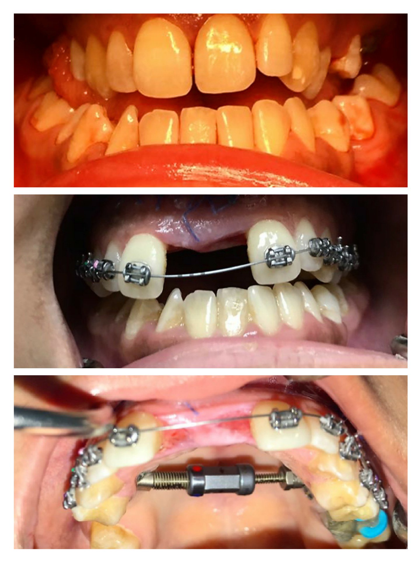
د بيشي القرني Twitter ನಲ ಲ عمليه لتوسيع الفك العلوي باستخدام الاستطاله العظميه Distraction Osteogensis و التمكن من ايجاد مسافه كافيه بين الاسنان الاماميه تكفي لتحريك الاسنان فيها و توسيع الفك العلوي ومن ثم

أمراض الفك وطرق العلاج ما هو علاج الانحراف الفك سریتامد

ما يجب أن تعرفه عن تقويم الأسنان مركز طب الأسنان د عادل عبد العظيم

سعر تقويم الأسنان الفك العلوي فقط التكلفة والأنواع تجميلي

تقويم الاسنان 10 أشياء تحتاج إلى معرفتها عن تقويم الأسنان سریتامد

احمد حافظ الخطيب On Twitter علاج تقدم و بروز الفك العلوي عن طريق استخدام التقويم تقويم اسنان عدسات لومونير فينيرز ابتسامة هوليوود تجميل زراعة Https T Co Fdurtn2jvx

سعر تقويم الاسنان الفك العلوي فقط في السعودية تكلفة اقل بـ 50

ما هو سعر تقويم الاسنان الفك العلوي فقط Guarantee Dental
تستخدم موسعات الفك العلوي Maxillary Expanders الثابتة والمتحركة في حالات تضيق الفك العلوي وحالات العضة العكسية الخلفية Posterior Crossbite وفي حالات أخرى كلما استخدمت على عمر أصغر كان ذلك أفضل للحصول على توسيع
Dr Hatem Alshaer د حاتم الشاعر يسمى هذا الجهاز التقويمي حزام الرأس وهو من أجهزة تعديل النمو يستخدم هذا الجهاز بشكل رئيسي لدى المرضى في مراحل النمو المبكرة لتعديل نمو الفك
You have just read the article entitled تقويم اسنان الفك العلوي. You can also bookmark this page with the URL : https://dwaynelieyko.blogspot.com/2022/08/blog-post_842.html
0 Response to "تقويم اسنان الفك العلوي"
Post a Comment